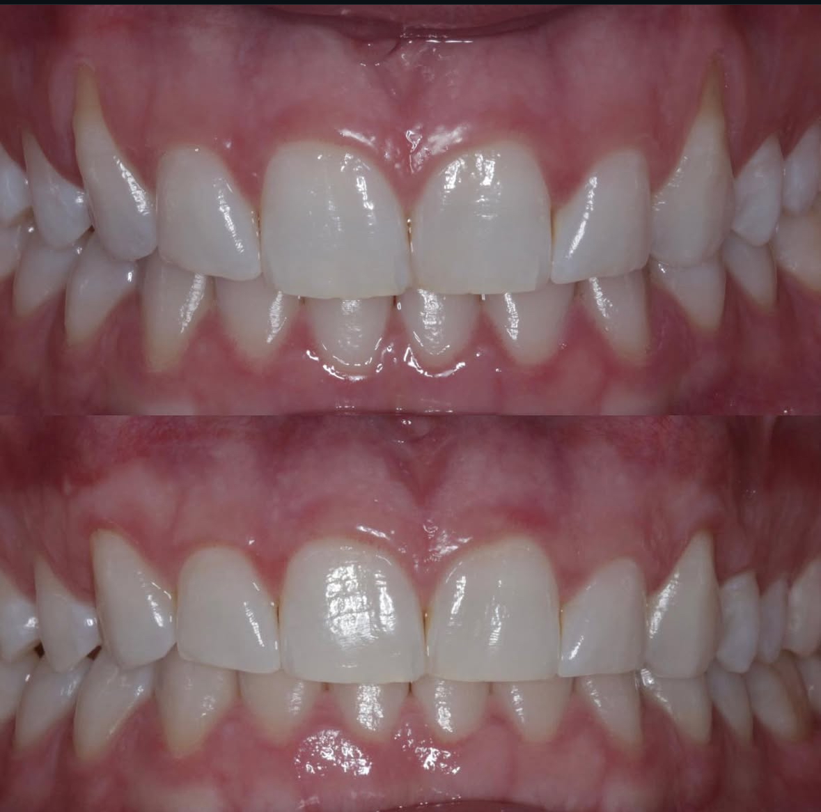
A dental bone graft is a procedure used to rebuild or strengthen the bone in your jaw often in preparation for dental implants or to preserve bone after tooth loss. By restoring lost bone, this treatment supports long-term oral health and provides the foundation for stable, lasting results.

A dental bone graft is a procedure used to rebuild or strengthen the bone in your jaw often in preparation for dental implants or to preserve bone after tooth loss. By restoring lost bone, this treatment supports long-term oral health and provides the foundation for stable, lasting results.


Bone grafting is a surgical procedure that adds natural or synthetic bone material to areas where bone has been lost, helping rebuild strength and structure. It stimulates your body’s natural ability to regenerate bone and is often performed after an extraction or before placing dental implants. Depending on your needs, the graft may use your own bone, donor bone, or biocompatible materials designed to support healthy regeneration.

Bone grafting is a surgical procedure that adds natural or synthetic bone material to areas where bone has been lost, helping rebuild strength and structure. It stimulates your body’s natural ability to regenerate bone and is often performed after an extraction or before placing dental implants. Depending on your needs, the graft may use your own bone, donor bone, or biocompatible materials designed to support healthy regeneration.


• Initial evaluation with digital imaging or CBCT scans
• Procedure performed under local anesthesia or sedation
• Healing period typically 3–6 months, depending on the case
• Close follow-up to monitor bone integration and healing
A dental bone graft is a vital step in restoring both form and function to your smile. Whether preparing for implants or preventing future complications, it helps lay the groundwork for long-term dental success.


• Initial evaluation with digital imaging or CBCT scans
• Procedure performed under local anesthesia or sedation
• Healing period typically 3–6 months, depending on the case
• Close follow-up to monitor bone integration and healing
A dental bone graft is a vital step in restoring both form and function to your smile. Whether preparing for implants or preventing future complications, it helps lay the groundwork for long-term dental success.
Improved stability
Boosts oral health
Increased function
Prevents jaw shrink

You may be a good candidate for a bone graft if you’ve experienced bone loss from missing teeth, periodontal disease, trauma, or infection that has weakened the jaw. Bone grafting is also commonly recommended for patients who plan to receive dental implants but need additional support for long-term stability. By rebuilding lost structure, a bone graft helps restore strength, function, and the foundation needed for a healthy smile.

You may be a good candidate for a bone graft if you’ve experienced bone loss from missing teeth, periodontal disease, trauma, or infection that has weakened the jaw. Bone grafting is also commonly recommended for patients who plan to receive dental implants but need additional support for long-term stability. By rebuilding lost structure, a bone graft helps restore strength, function, and the foundation needed for a healthy smile.



